噛み合わせ認定医のインプラント治療|椎名町松本歯科こども歯科

ご予約・お問い合わせ

電話番号 03-5926-7498

【診療時間】9:00~13:00/14:30~18:30/※14:00~17:00 【休診日】火曜・祝日

CT検査無料で相談

カレンダーアイコン

24時間受付中
WEB予約はこちらから

※保険内の治療費は発生します。

西武池袋線 椎名町駅から徒歩2分|5年間保証|
インプラント治療に特化した歯科医院

インプラント無料相談受付中

※保険内の治療費は発生します。

当院はではお口の状態により、複数の治療方法を組み合わせて
なるべくご自身の歯を残します。インプラント手術も
回数を減らす方法で、負担を抑えた治療を行なっています。

噛み合わせ・歯周病認定医の

負担の少ないインプラント

椎名町松本歯科こども歯科

院長 松本和也

下矢印

私たちは、患者様との対話を大切に
安心ができるインプラント治療をご提供します。

QUALIFICATION

どんな症例でも向き合う、安心の知識と技術力

歯の状態は一人ひとり異なります。
当院では、歯周病認定医による再生医療でご自身の歯を最大限生かし、最小限のインプラントで済む最適な治療をご提案します。
「10年後も快適に暮らせる治療」をコンセプトに、
将来を見据えたお口の健康をサポートいたします。

  • 経歴

    2012年3月 明海大学卒業

    2012年4月 明海大学歯学部付属明海大学病院臨床研修プログラムP

    2013年4月 明海大学歯学部付属明海大学病院PDI診療センター入局

    2018年4月 明海大学歯学部付属明海大学病院PDI埼玉歯科診療所入局

  • 資格

    歯周病学会認定医

    噛み合わせ認定医

    歯科審美学会認定医

検査結果をもとに
治療についてご案内します

レントゲン(平面画像)とCT(立体画像)検査の結果から、今のお口の状態は
どうなのか、どんな治療の選択肢があるのかをお伝えします。
最適な治療法を見つけるために、まずは一度お話ししませんか。
※レントゲンおよび保険内の診療費は発生いたします。
※保険外診療となるCT撮影は無料でご提供いたします。

レントゲン(平面画像)とCT(立体画像)検査の結果から、今のお口の状態は
どうなのか、どんな治療の選択肢があるのかをお伝えします。
最適な治療法を見つけるために、まずは一度お話ししませんか。
※レントゲンおよび保険内の診療費は発生いたします。
※保険外診療となるCT撮影は無料でご提供いたします。

10年後も
しっかり噛める毎日のために

※保険内の治療費は発生します。

CASE STUDIES

症例の一部をご紹介

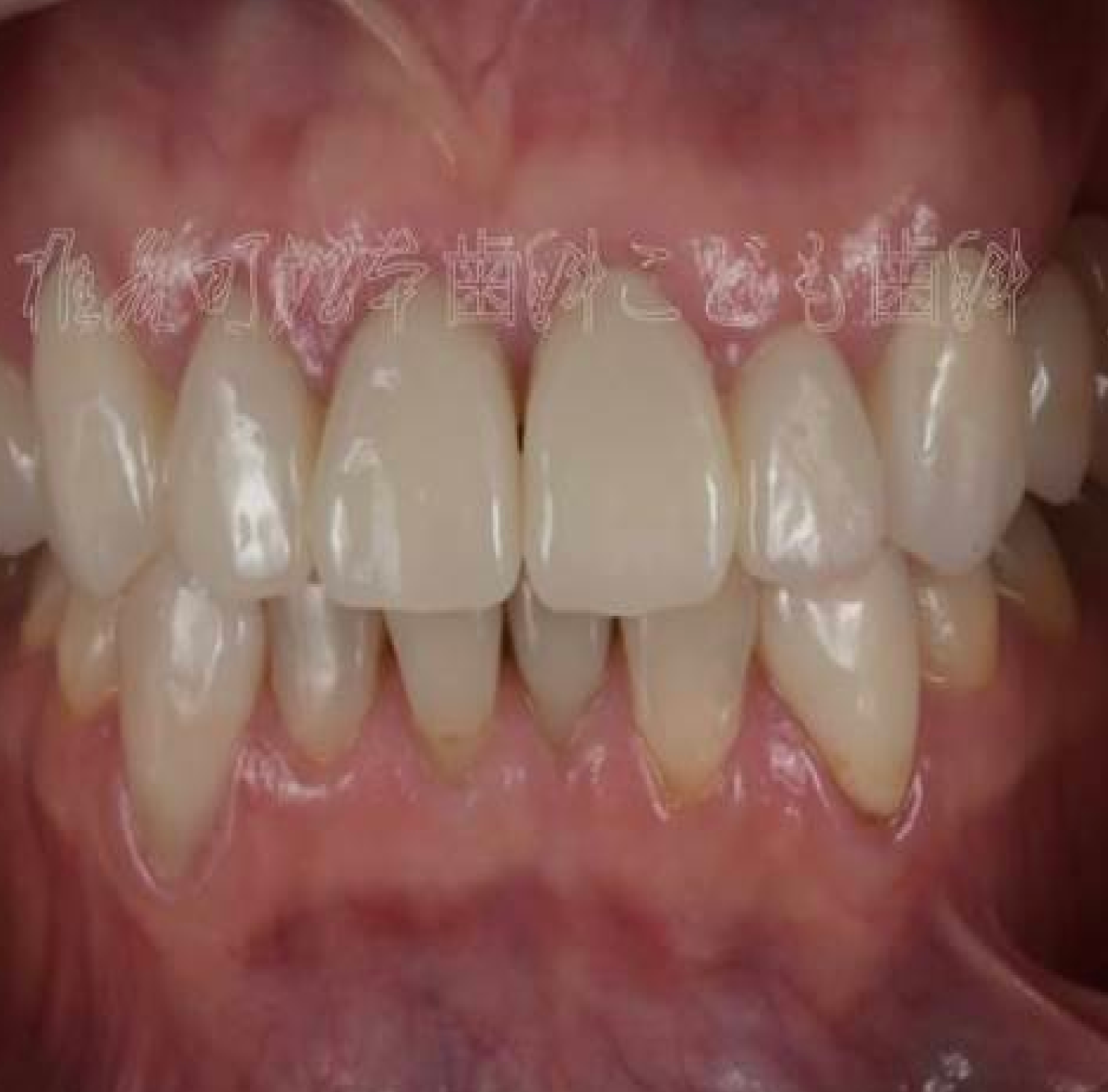
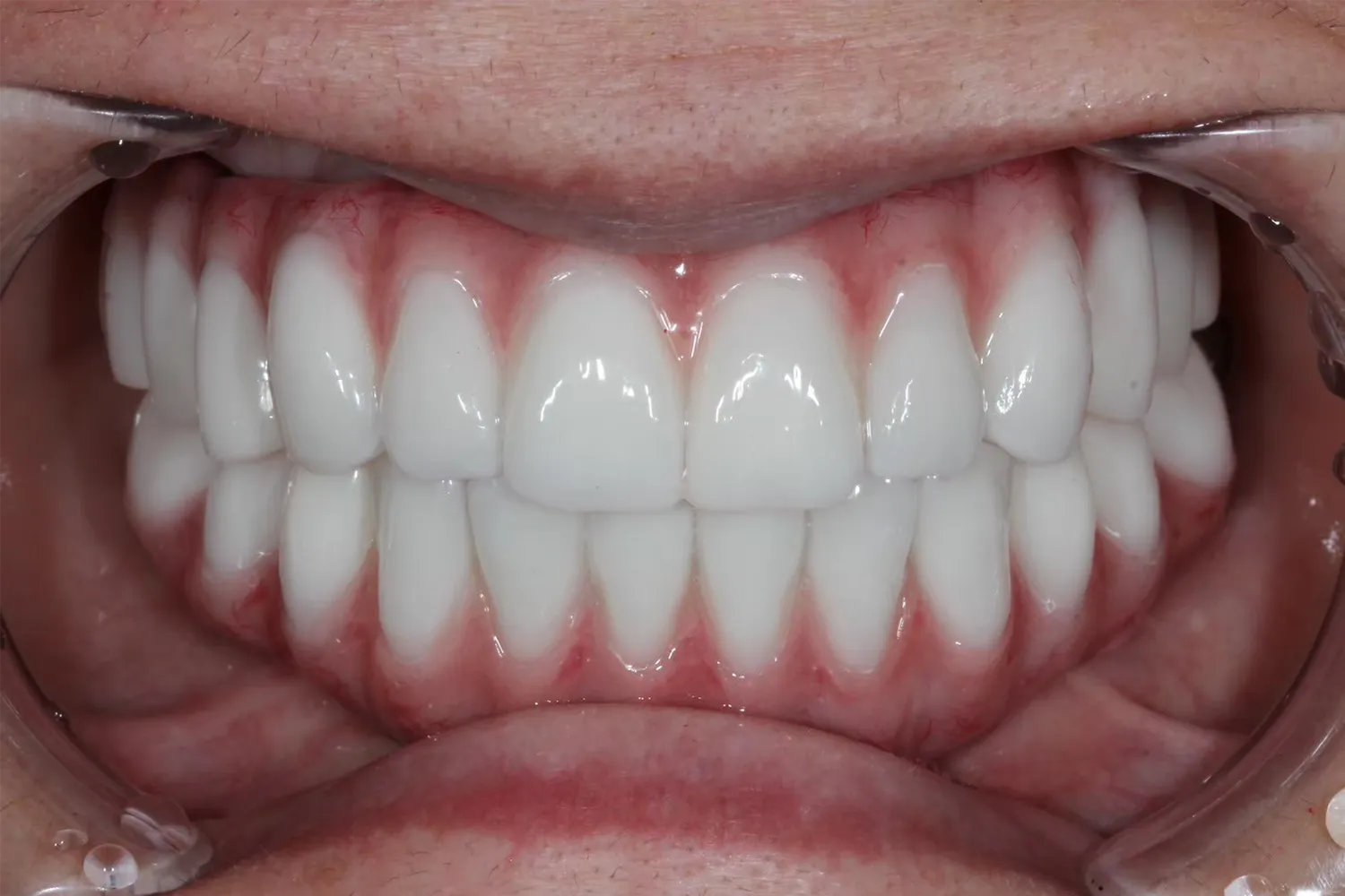
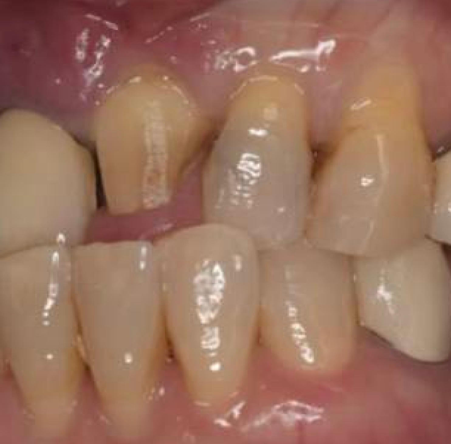
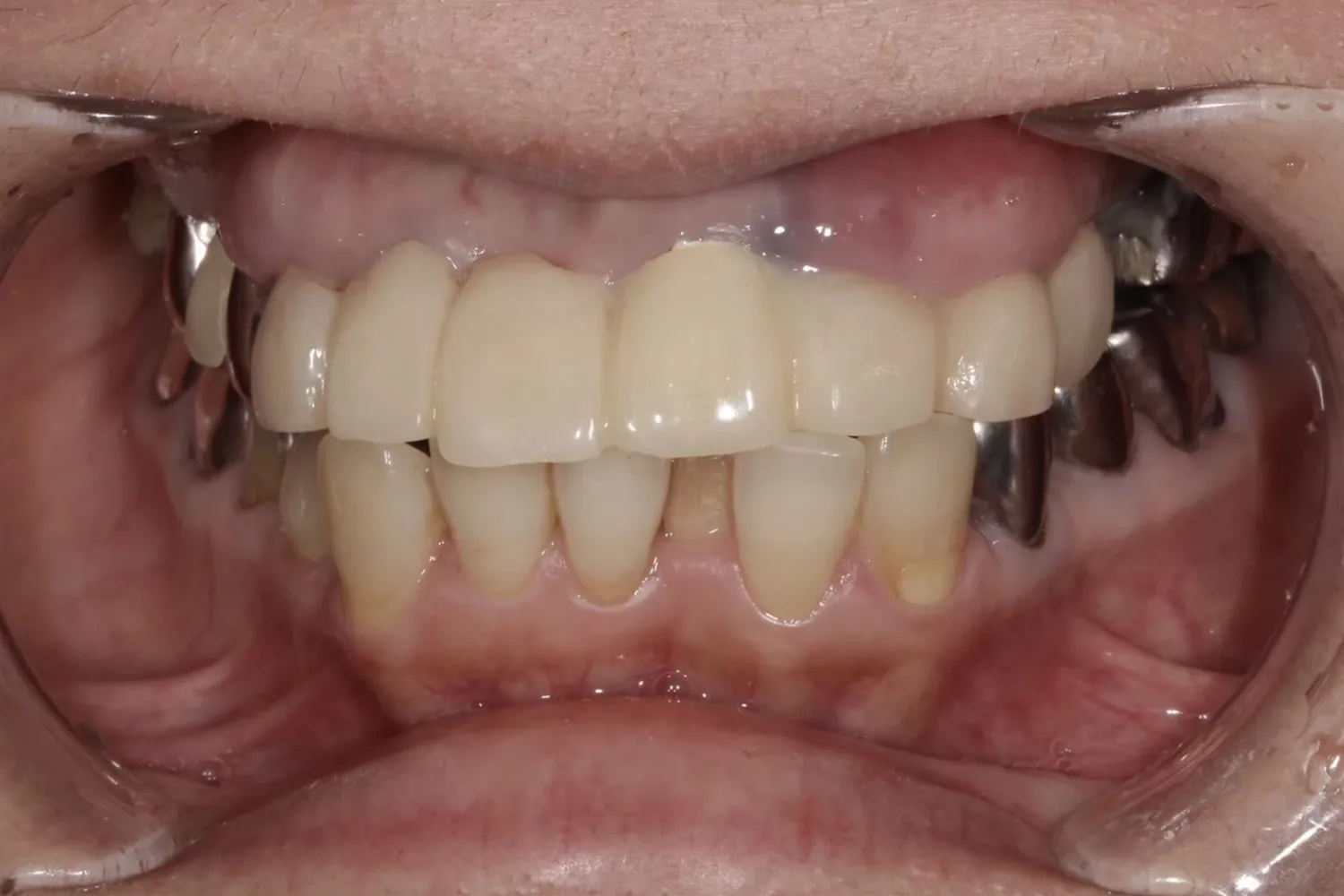
Before
After

組み合わせ治療

治療内容

セラミック、ホワイトニング、インプラントの治療を行いました。理想的な噛み合わせや笑った時の歯の見え方など、様々なこだわりを入れて治療を行いました。

  • 治療期間

    約1年

  • 費用

    約140万円

リスク

再治療の可能性

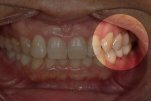
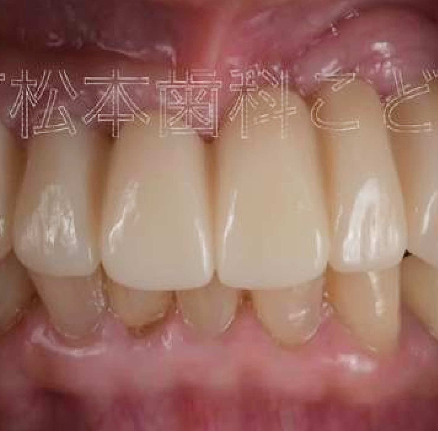
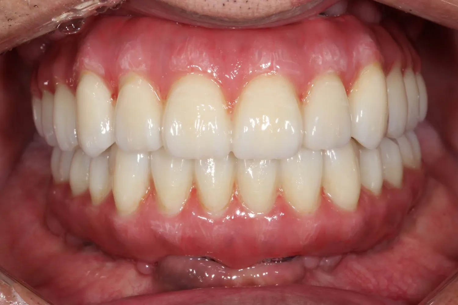
Before
After

組み合わせ治療

治療内容

インプラント、保険治療、セラミッククラウンの治療を行いました。複数の治療を組み合わせることで、機能と見た目を両方整えることができます。

  • 治療期間

    約9ヶ月

  • 費用

    約230万円

リスク

インプラント周囲炎の可能性

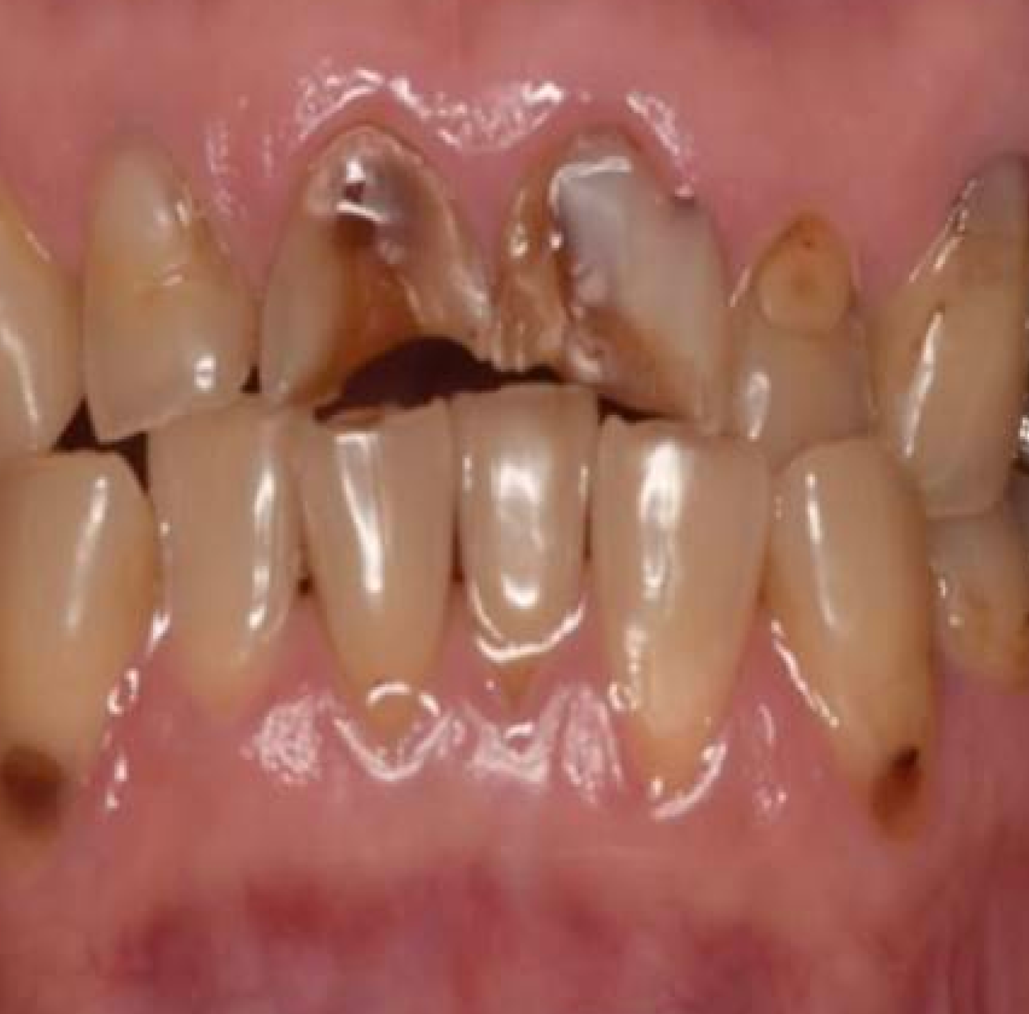
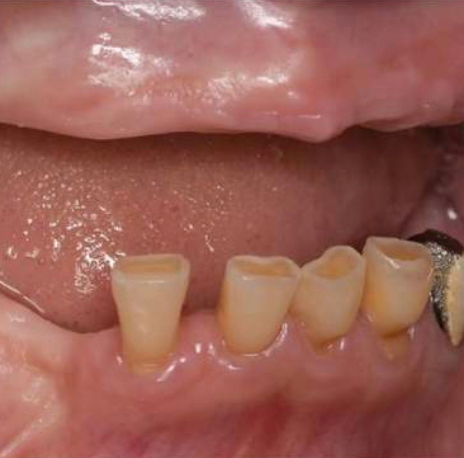
Before
After

抜歯即時インプラント

治療内容

抜歯即時インプラント、ソケットリフトの治療を行いました。本来数日かかる治療内容ですが、手術当日に歯をつけることで1日で手術が終了しました。

  • 治療期間

    約5ヶ月

  • 費用

    約300万円

リスク

インプラント周囲炎の可能性

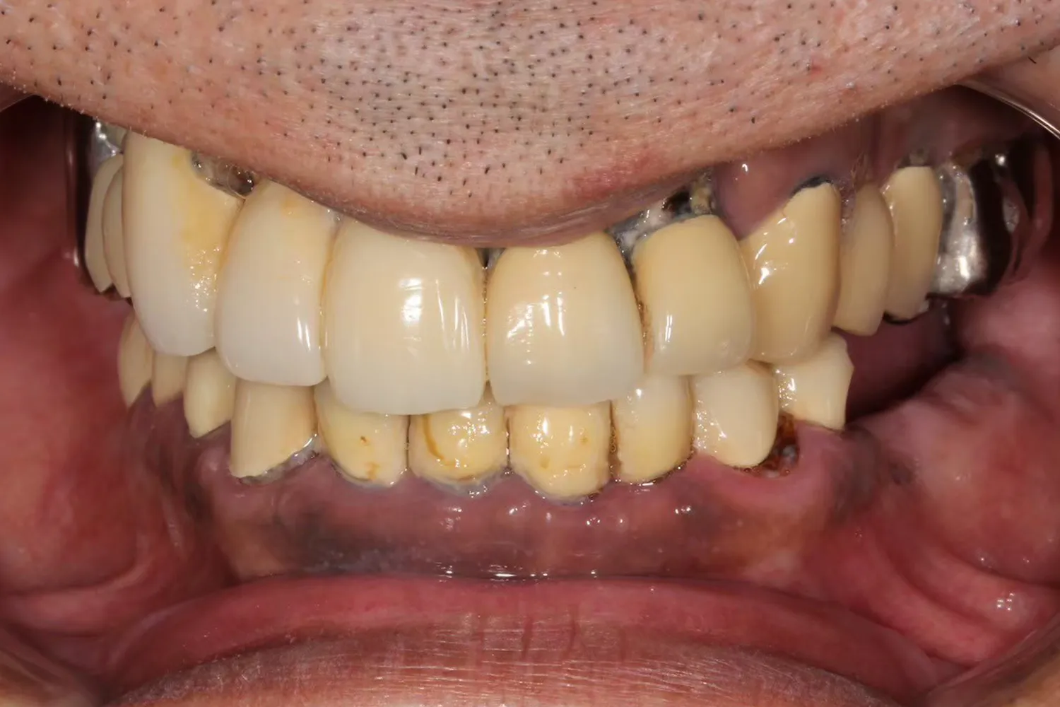
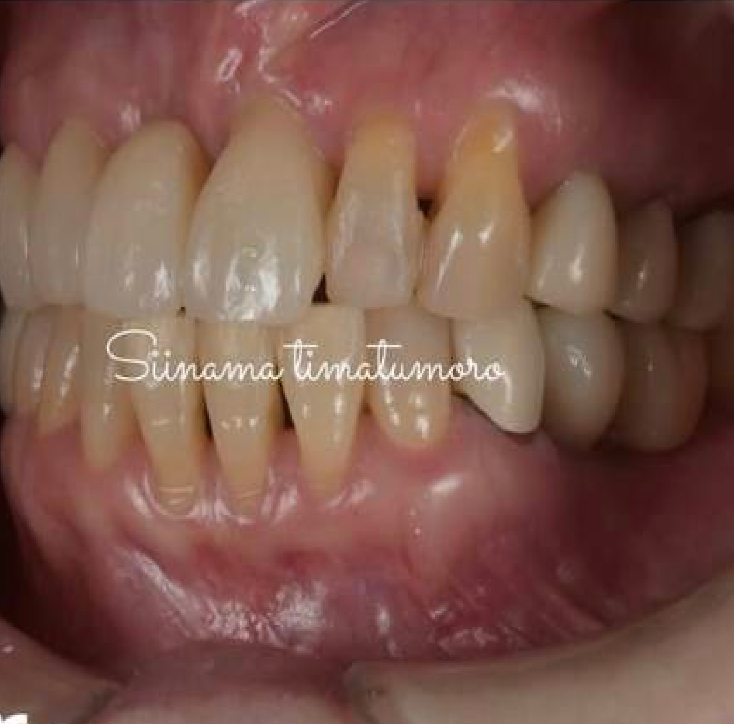
Before
After

組み合わせ治療

治療内容

入れ歯、インプラント、セラミックを組み合わせた治療を行いました。入れ歯をインプランをを用いて装着することで、上顎に床がなくなり違和感を抑えることができます。

  • 治療期間

    約8ヶ月

  • 費用

    約200万円

リスク

義歯の破折、インプラント周囲炎の可能性

あなたはこんなお悩み、
抱えていませんか?

  • いつまでも
    自信を持って笑いたい

    • チェックアイコン

      家族と自信を持って笑顔で
      食事をしたい50代/女性

    • チェックアイコン

      どうしよう!歯が抜けそう30代/女性

    • チェックアイコン

      入れ歯が合わず、食事が憂鬱70代/男性

  • あれ?気がついたら
    歯がグラつく…

    • チェックアイコン

      歯が抜けてしまった
      そのままにしておいても良いのかな40代/男性

    • チェックアイコン

      他院で「骨が足りなくてインプラントできない」
      と言われてしまった、、、60代/男性

    • チェックアイコン

      生活習慣病や骨粗鬆症だと、
      インプラント出来ないんでしょ?70代/女性

そのお悩み

椎名町松本歯科こども歯科で、
解決できます!!

小さなことでも不安や疑問を
お話しください。
あなたにぴったりの治療法を
一緒に考えます!

私はインプラント治療に限らず、患者さんの歯の健康を生涯にわたりサポートし続けたいと考えております。そのために骨や神経などお口の状態に合わせた治療方法を複数組み合わせた提案をしています。

インプラント治療の目的は歯の機能を取り戻して適切な噛み合わせを実現することです。歯を補うだけでは噛み合わせを回復できるとは限りません。健全な噛み合わせを取り戻すことを念頭に置いたインプラント治療が重要です。

患者様の将来のため、今の結果だけではなく、10年や20年後の健康を見据えたインプラント治療を行います。

椎名町松本歯科こども歯科 院長 松本 和也

私たちの想い

歯を補うだけじゃない その先の生活まで考える治療

インプラントで手にいれる
新しい私

  • 噛み合わせが整い
    自然に噛める心地よさ
  • 今ある歯とインプラントが
    調和する噛み合わせ
  • 入れ歯のように周りの歯を削らず
    自分の歯を守れる治療
  • 取り外しの手間なし
    快適な毎日
  • ズレない、外れない。人まえで、
    思いきり笑える
  • 噛む力脳を刺激
    認知機能姿勢など
    未来の健康をサポート
  • 顎の骨に固定するから
    心地よく噛める!
  • 噛み合わせが整い
    自然に噛める心地よさ
  • 今ある歯とインプラントが
    調和する噛み合わせ
  • 入れ歯のように周りの歯を削らず
    自分の歯を守れる治療
  • 取り外しの手間なし
    快適な毎日
  • ズレない、外れない。人まえで、
    思いきり笑える
  • 認知機能姿勢など
    未来の健康をサポート
  • 顎の骨に固定するから
    心地よく噛める!

当院は、
本気なあなた
全力で応援します!

検査結果をもとに
治療についてご案内します

レントゲン(平面画像)とCT(立体画像)検査の結果から、今のお口の状態は
どうなのか、どんな治療の選択肢があるのかをお伝えします。
最適な治療法を見つけるために、まずは一度お話ししませんか。
※レントゲンおよび保険内の診療費は発生いたします。
※保険外診療となるCT撮影は無料でご提供いたします。

レントゲン(平面画像)とCT(立体画像)検査の結果から、今のお口の状態は
どうなのか、どんな治療の選択肢があるのかをお伝えします。
最適な治療法を見つけるために、まずは一度お話ししませんか。
※レントゲンおよび保険内の診療費は発生いたします。
※保険外診療となるCT撮影は無料でご提供いたします。

10年後も
しっかり噛める毎日のために

※保険内の治療費は発生します。

Commitment

椎名町
松本歯科こども歯科
のこだわり

  • 01

    できる限り抜歯と同時に行う、身体への負担を抑えたインプラント治療

    当院では抜歯時にインプラントを埋入し、傷の治りと定着を同時に進めています。通常4回の手術に約5か月かかりますが、この方法では手術1回で治療を2ヶ月程度に短縮できます。さらに、抜歯当日に仮歯を装着するため、歯がない期間がありません。負担が少なく、結果として治療費を抑えられることもメリットです。ただし、安全性を最優先に、適応を見極めたうえでご提案しています。

  • 02

    噛み合わせから考えた治療を実施。他院のインプラントにも対応

    治療で大切なのは、歯を入れるよりも「どう噛むか」。噛み合わせが合っていないと痛みや違和感、ぐらつきの原因になります。当院ではインプラントだけではなく、自身の歯や顎の動きまで含めて、お口全体の噛み合わせを設計します。しっかり噛めて将来のトラブルを防ぐ治療を行っています。また、他院で入れたインプラントも「何のインプラントを使用しているか?」を確認して治療が可能です。

  • 03

    世界シェアトップクラスを誇る
    ノーベルバイオケア社製インプラントを採用

    インプラント治療の結果を大きく左右するのは、使用するインプラント体(人工歯根)の品質です。当院では、世界シェアトップクラスを誇るノーベルバイオケア社のインプラント体を採用しています。長年の研究と開発によって、安全性・耐久性・成功率の高さが実証されており、多くの歯科医師から信頼されているブランドです。治療計画や手術をサポートする「ノーベルガイド」というオペレーションシステムも併用し、一切の妥協はいたしません。

  • 04

    痛みに弱くても安心、
    しっかりとした麻酔で治療が受けられる

    「インプラント手術が怖い」「不安がある」という方には、静脈内鎮静法(点滴麻酔)を用いた無痛治療をご用意しています。麻酔専門医と連携し、安全な環境のもと、まるで眠っているかのような感覚で手術を受けていただけます。ストレスや恐怖心をできる限り抑えることで、リラックスして治療に臨んでいただけます。過去に歯科治療でつらい経験をされた方や、高血圧・心疾患などの持病をお持ちの方も、安心して手術を受けていただけるよう配慮しています。

  • 05

    骨が足りない方には、
    再生医療技術を活用可能

    歯周病の進行や長期間の欠損放置などにより顎の骨が痩せ、「骨が足りないためインプラントはできない」と診断されることがあります。当院では、そのような場合にも対応できる骨再生治療を行っています。ソケットリフト、サイナスリフト、GBR(骨誘導再生)などの技術を用い、骨の再生をサポート。安全にインプラントが埋入できる状態へ導きます。「もうできない」とあきらめる前に、ぜひ一度ご相談ください。患者さまが安心して治療に臨めるよう、最適な方法をご提案いたします。

  • 06

    最先端の歯科用CTで、
    安全かつ分かりやすい
    インプラント治療

    歯科用3DデジタルCTを活用し、歯を支える歯茎の中にある歯槽骨の状態も確認しながら、正確かつ安全に検査します。骨や神経の位置を正確に把握することで、余分な負担や痛みを極力抑えられるのが特長です。骨の状態に合わせた微調整もでき、難症例にも柔軟に対応します。3D画像はお口の状態や治療計画を視覚的にわかりやすくご説明する際にも使用。専門用語もかみ砕いてお伝えし、患者さまの不安を解消しながら、納得して治療を受けていただけるよう心がけています。

  • 07

    5年間の保証制度あり、
    治療後もしっかりサポート

    当院では、インプラント治療後も長く安心してインプラントをお使いいただけるよう、万一のトラブルにも対応できる5年保証をお付けしています。万一トラブルが発生した場合も、責任を持って対応いたします。患者さまに末永く快適にお過ごしいただけるよう、治療後も変わらぬサポートをお約束します。

骨と全身の状態やご希望に合わせた

安心の治療方法

当院では、患者さまの骨の状態やお身体の状態、ご希望に合わせて、抜歯後すぐのインプラント埋入や骨形成、またそれらを組み合わせるなどより安全で適切な治療方法を選択できます。

CHOICE1.

インプラントを抜歯後すぐに入れる治療

インプラントを抜歯後すぐに入れる治療

  • 抜歯即時埋入・即時荷重

    抜歯した日に噛める歯を
    ― 抜歯と同時のインプラント

    抜歯と同日にインプラントを埋入し、その日のうちに仮歯を装着。手術回数や通院期間を抑えることができます。

  • 抜歯早期埋入

    早めの治療でリスクを軽減
    ― 抜歯後1〜2ヶ月でのインプラント手術

    抜歯から1〜2ヶ月後にインプラントを埋入。歯ぐきが治って治療できるので感染リスクが抑えられ、治療期間も短縮できます。

  • リッジプリザベーション

    インプラントの理想的な土台を作る ― 骨や顎を守る

    抜歯後の骨吸収を防ぐ処置です。骨補填材などで骨の幅や高さを維持し、インプラントを安全に埋入する土台を整えます。

抜歯即時埋入・即時荷重

抜歯した日に噛める歯を
― 抜歯と同時のインプラント

抜歯と同日にインプラントを埋入し、その日のうちに仮歯を装着。手術回数や通院期間を抑えることができます。

抜歯早期埋入

早めの治療でリスクを軽減
― 抜歯後1〜2ヶ月でのインプラント手術

抜歯から1〜2ヶ月後にインプラントを埋入。歯ぐきが治って治療できるので感染リスクが抑えられ、治療期間も短縮できます。

リッジプリザベーション

インプラントの理想的な土台を作る ― 骨や顎を守る

抜歯後の骨吸収を防ぐ処置です。骨補填材などで骨の幅や高さを維持し、インプラントを安全に埋入する土台を整えます。

CHOICE2.

あきらめないで!
骨が少なくてもできる治療があります

あきらめないで!
骨が少なくてもできる治療があります

  • 骨造成

    骨造成(GBR)

    骨が足りなくても治療ができる
    ― 安全な土台を作ります

    骨の幅や高さが不足している部位に骨補填材を填入し、骨組織の再生を誘導します。インプラント埋入に適した十分な骨量と強固な地盤を構築します。

  • ソケットリフト サイナスリフト

    ソケットリフト
    サイナスリフト

    骨を補って支えを強化
    ― 上顎の奥歯もしっかり支える

    上顎の奥歯など、骨が薄くてインプラントが難しいとされる部位への治療です。 膜を優しく持ち上げて骨補填材を補うことで、インプラントを安全に埋め込める厚みと強度を作ります。

骨造成

骨造成(GBR)

骨が足りなくても治療ができる
― 安全な土台を作ります

骨の幅や高さが不足している部位に骨補填材を填入し、骨組織の再生を誘導します。インプラント埋入に適した十分な骨量と強固な地盤を構築します。

ソケットリフト サイナスリフト

ソケットリフト
サイナスリフト

骨を補って支えを強化
― 上顎の奥歯もしっかり支える

上顎の奥歯など、骨が薄くてインプラントが難しいとされる部位への治療です。 膜を優しく持ち上げて骨補填材を補うことで、インプラントを安全に埋め込める厚みと強度を作ります。

  • CHOICE3.

    多くの歯を失っても
    インプラントで治療可能

    • インプラントオーバーデンチャー

      入れ歯だけよりも―
      快適な使用感へ

      インプラントで入れ歯を固定する方法です。
      ズレを抑え違和感を減らし、外れやすい・噛みにくいといった入れ歯の不快感を軽減できます。

  • CHOICE4.

    見た目も機能も高品質なインプラント治療

    • 遊離歯肉移植 軟組織移植

      遊離歯肉移植(FGG)/
      軟組織移植(CTG)

      見た目と清潔感がアップ ―
       歯ぐきの移植治療

      痩せて下がった歯ぐきに組織を移植してボリュームを回復させ、自然で美しい口元を再生します。特に前歯など、審美性が強く求められる部位に効果的です。

椎名町松本歯科こども歯科で、
安心の治療を

あなたのための治療が必ず見つかります。

  • 他院で難しいと言われた症例にも対応しています。

    「インプラントは無理」と診断された方も、当院ならできるかもしれません。
    骨が少ないなどの難症例でも対応します。また、他院での治療方針に不安を感じている方、セカンドオピニオンも随時受け付けています。
    まずは、お気軽にご相談ください。患者様一人ひとりに最適な治療方法を、私たちが一緒に考えます。

  • 治療後の不安もご相談ください
    安心の保証制度を整えています。

    当院施術のインプラントには保証制度を整えております。
    万が一のトラブルが起きた場合も責任を持って対応いたしますので、ご安心ください。

当院のインプラント保証システム

保証制度ご利用にあたってのご注意

  • 患者さまご自身の不注意や、予期せぬ事故による損傷などは、保証の適用外でございます。
  • 保証の適用には、原則として3ヵ月ごとの定期メンテナンスの受診が必要です。
  • 噛み合わせに負担がかかりやすい方には、就寝時のマウスピース装着をお願いする場合がございます。
  • ご自身の判断でインプラントの使用を中断されたり、当院の指示に従っていただけない場合には、保証の対象外となる可能性がございます。

AFTER CARE

新しい歯だからこそ

プロのケアで守る あなたの一生の健康

3ヶ月に1回の定期健診をご案内しております

インプラントは、手術完了が「ゴール」ではありません。その後のプロによる定期的なメンテナンスこそが、インプラントの寿命を決定づけるポイントです。

最も怖いのは、細菌感染や噛み合わせのズレ。天然歯のような防御機能を持たないため、日々のセルフケアだけでは気づかない微細なトラブルが起こることがあります。

そこで当院では、リスクを未然に防ぐために、適切な間隔(目安は3〜6か月に1回)での専門的なチェックを行っています。インプラントを真の「一生もの」にするために、定期的な通院を習慣にしましょう。

PRICE

安心安全なインプラントを、
納得の価格

初回カウンセリング無料

インプラント

1本 450,000 円〜
  • CT検査料込み
  • 上部構造(人工歯)込み
  • 手術費・検査費・診断料込み

※インプラント体・カスタムアバットメント・上部構造のすべてが上記金額に含まれます。
※骨造成などの追加処置が必要な場合は別途料金が発生しますが、事前にしっかりご説明いたします。

お支払いが
不安な場合は

デンタルローン
ご利用いただけます

デンタルローンご利用の場合

月々 5,800

※60回払いの場合のお支払い費用です。
※初回のお支払いのみ9,433円となります。

当院では、下記のお支払方法が可能です

  • お金アイコン

    現金

    現金でのお支払い

    現金でのお支払い

  • クレジットカードアイコン

    クレジットカード

    VISA/JCB/Mastercard
    アメリカンエキスプレス
    ダイナースクラブ

    VISA/JCB/Mastercard/アメリカンエキスプレス/ダイナースクラブ

  • 歯アイコン

    デンタルローン

    低金利分割払いでの
    お支払い

    低金利分割払いでのお支払い

医療費控除について

1年間(1月〜12月)に支払った医療費が10万円をこえた場合、税金の一部が戻ってくる「医療費控除」を受けられることがあります。
・ご本人の治療費だけではなく、同一家計のご家族が支払った医療費もまとめて申請が可能です。
・治療費の領収書や明細書などが必要ですので、大切に保管しておいてください。
詳しい条件や手続きについては、国税庁のホームページにてご確認ください。
国税庁「医療費を支払ったとき」:https://www.nta.go.jp/taxes/shiraberu/taxanswer/shotoku/1120.htm

ACCESS

西武池袋線 椎名町駅
・徒歩2分の駅近の歯科医院

椎名町松本歯科こども歯科

  • マップアイコン

    〒171-0051

    東京都豊島区長崎2-12-2 永楽堂ビル1階

  • 電車アイコン

    西武池袋線 椎名町駅から徒歩2分

  • 車アイコン

    近隣のコインパーキングをご利用ください

FLOW

診察の流れ

  • 1.

    ご予約

    こちらのページより無料相談のご予約をお願いいたします。相談ではお悩みやご希望をお伺いし、診療内容をご提案いたします。不安点や疑問も遠慮なくお伝えください。ご納得のうえ精密検査へと進んでいただきます。

  • 2.

    精密検査/診断

    インプラント治療ができるかを判断するために、レントゲン、CT撮影、歯周組織や骨の状態、噛み合わせを詳しく確認します。なお、当院でインプラント治療を受けられる場合、精密検査の費用は治療費に含まれておりますのでご安心ください。

  • 3.

    治療計画のご説明

    詳しく診断した結果をもとに、手術方法や治療期間、治療費用についてご説明いたします。気になる点は遠慮なくご相談ください。

  • 4.

    インプラント埋入手術

    経験豊富な医師が最新技術で安全、正確にインプラント手術を行います。

  • 5.

    人工歯の装着

    インプラントと骨が結合した後、連結部を装着し、その上に人工歯を取り付けます。自然な見た目と噛み心地になるよう調整します。

  • 6.

    定期メンテナンス

    インプラントを安心してお使いいただくために定期的なメンテナンスを行います。当院では定期検診とクリーニングのため3ヶ月に1度ご来院いただいています。

検査結果をもとに
治療についてご案内します

レントゲン(平面画像)とCT(立体画像)検査の結果から、今のお口の状態は
どうなのか、どんな治療の選択肢があるのかをお伝えします。
最適な治療法を見つけるために、まずは一度お話ししませんか。
※レントゲンおよび保険内の診療費は発生いたします。
※保険外診療となるCT撮影は無料でご提供いたします。

レントゲン(平面画像)とCT(立体画像)検査の結果から、今のお口の状態は
どうなのか、どんな治療の選択肢があるのかをお伝えします。
最適な治療法を見つけるために、まずは一度お話ししませんか。
※レントゲンおよび保険内の診療費は発生いたします。
※保険外診療となるCT撮影は無料でご提供いたします。

10年後も
しっかり噛める毎日のために

※保険内の治療費は発生します。

Common Questions

よくあるご質問

  • Q

    インプラントの手術時間はどれくらいかかりますか?

    通常1本あたり 30分〜60分ほどですが、症例や処置内容により異なります。静脈内鎮静法を併用した場合でも、当日はリラックスして受けていただけます。

  • Q

    インプラントは何年もちますか?

    適切なメインテナンスを行えば、10〜20年以上使い続けることが可能です。定期的なクリーニングと噛み合わせの調整が長持ちの秘訣です。

  • Q

    インプラントに年齢制限はありますか?

    年齢制限はありませんが、全身の健康状態を考慮したうえで安全に治療が行えるかどうかを判断いたします。高齢の方にも適した方法をご提案しております

  • Q

    インプラントはどのくらい痛い?

    「手術が怖い」というお声は多いですが、インプラント手術は局所麻酔や静脈内鎮静法によって、ほとんど痛みを感じることなく受けることができます。術後のケア方法についても、しっかりとご説明いたしますのでご安心ください。

  • Q

    他院に通院していますが、相談だけでも可能でしょうか?

    セカンドオピニオンをご希望の患者さまも多く来院されていますので、どうぞお気軽にご相談ください。当院の治療方針のご説明を行い、ご提供可能な選択肢があればご案内いたします。

ご注意ください

  • 妊娠中もしくは妊娠の可能性がある方は、薬剤の影響を受ける場合がありますので、治療をお控えいただくことがあります。
  • 心臓疾患・糖尿病など内科的疾患や持病がある方は、治療を慎重に判断させていただくため、事前に必ずお申し出ください。
  • 18歳未満の方は、顎の骨が成長過程にあるため、インプラント治療はできません。
  • 全身の健康状態やお口の中の状況(歯周病や虫歯など)により、インプラント手術の前に必要な治療から始めさせていただくことがあります。
  • 手術後に腫れや違和感、出血が見られることがあります。多くの場合は数日以内におさまりますが、ご不安な点がございましたら、当院までご連絡ください。